
Tout le monde ne sait pas ce qu'est l'arthrose, pour cette raison, les gens sont confus dans les méthodes de traitement et ne comprennent pas les principes du diagnostic de la pathologie. L'arthrose est une violation dystrophique sévère qui provoque la lésion des tissus du cartilage dans la cavité intra-articulaire. La complexité de la thérapie est associée à l'irréversibilité des processus, un remède complet dans le cadre de la médecine moderne ne peut pas être obtenu, mais la gravité des symptômes peut être réduite et la progression de la pathologie peut ralentir. Avec un traitement approprié, une personne poursuit le mode de vie habituel pendant longtemps.
Qu'est-ce que l'arthrose?
De même, il est plus simple que pour la maladie de l'arthrose est une maladie des articulations qui provoque la restriction de l'amplitude du mouvement et de la douleur. Au premier stade des dommages, il n'y a pas de manifestations, a une légère gravité et lavée. Peu à peu, la pathologie progresse, cela est facilité par les changements liés à l'âge dans le corps, le stress, les blessures, etc. Selon les statistiques, environ 80% de la population de plus de 60 ans d'arthrose.
L'arthrose de l'articulation se développe pendant longtemps, n'affecte initialement que le cartilage Hyalin, puis se propage aux os, implique la coquille synoviale, les muscles et toute la capsule articulaire. Au premier ou au début de l'arthrose, la lésion se manifeste légèrement: de petites douleurs après un travail acharné, un gonflement, une rougeur de la peau. En raison de l'ignorance des sensations inconfortables, l'articulation est déformée, enflammée, apporte une douleur intense, leur pic de chute le matin. La maladie se caractérise par la disparition de la douleur après le développement de l'articulation. S'il n'est pas traité, une personne perd complètement la mobilité de l'articulation.

Il existe une forme d'arthrose primaire et secondaire. La pseudo-arthrose (néoartrose) est également distinguée - peu de gens savent ce que c'est, car il se forme moins souvent que les autres variétés. La néoarthrose est une fausse articulation, donc le tissu du cartilage augmente dans un endroit inhabituel où des dommages ont été obtenus. Il est difficile à traiter, principalement chirurgicalement.
Il y a une pathologie due aux troubles de la fonction régénérative, de l'immunité ou des dommages mécaniques. En raison de diverses causes de cartilage, elle devient plus mince. Dans un état normal, le tissu du cartilage reçoit une nutrition suffisante pour la récupération, mais après un effort physique excessif ou en raison d'une violation des processus métaboliques, les tissus n'ont pas le temps de se régénérer. Au premier stade, la mobilité conjointe demeure. Ayant considéré ce que l'arthrose est une définition, il vaut la peine de s'approfondir plus en détail dans le développement de la pathologie.
Le mécanisme de développement de l'arthrose, ses types
De nombreuses variétés d'arthrose se développent selon un schéma similaire:
- La lésion primaire affecte le cartilage hyalin. En cas de troubles circulatoires, une détérioration de la puissance pathologique se produit. Il s'agit de la première étape ou de la cause, qui peut se produire de l'arthrose.
- Pathologies de revêtement Hyalin. L'amincissement du cartilage conduit au remplacement de ses tissus pathologiques - structures osseuses.
- Des croissances anormales apparaissent sur le cartilage - ostéophytes.
- La violation notamment de l'anatomie naturelle du cartilage et des os provoque la surcharge de zones saines du cartilage. La destruction des tissus articulaires sans traitement progresse constamment et entraîne un handicap.
Lorsque le degré de maladie augmente, les processus pathologiques sont encore aggravés. En fin de compte, tout le cartilage Hyalin est détruit.
Le dernier degré de la maladie conduit à:
- implication dans le processus pathologique des os, sous et au-dessus des surfaces cartilagineuses;
- irritation d'une coquille articulaire, limitant la mobilité, ce qui entraîne un handicap de 2 degrés;
- augmentation de la densité de la capsule;
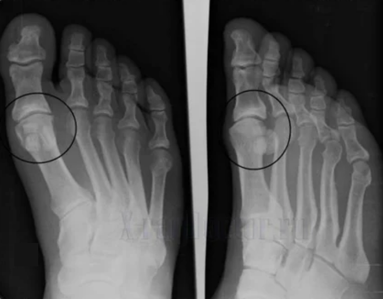
- Réduire l'écart dans l'écart de l'articulation, qui devient perceptible dans l'image. Le stade de la violation est déterminé par le diagnostic-tantgénologiste. Le patient ressent la complexité ou l'incapacité de redresser et de plier complètement le membre;
- Déformation articulaire, le cartilage acquiert une forme irrégulière, provoquant une courbure;
- Détérioration de l'état du patient avec une destruction complète de l'articulation.
Étapes de l'arthrose
La maladie articulaire a 3 étapes de développement:

- 1 degré. Les troubles morphologiques ont déjà commencé, mais ils ne sont pas encore perceptibles. La pathologie affecte principalement l'état du liquide synovial, qui, pire, fournit des tissus cartilagineux avec des composants nutritifs, réduisant la force du cartilage. La charge sur les articulations provoque une inflammation et une douleur.
- Étape 2. En raison de la carence en apport, les cartouches nécessaires sont détruites, des croissances osseuses se forment à la surface du cartilage. Les douleurs acquièrent un caractère plus prononcé, s'intensifier après un long repos, sont éliminés par un petit travail physique. La douleur s'accompagne d'une inflammation. Les muscles sont étirés, ce qui conduit à des fonctions moteurs faibles ou moyennes.
- 3 degrés. Souvent, il y a des douleurs, il est difficile de déplacer le membre en raison de changements dans l'articulation. Les lésions sont étendues, deviennent perceptibles au look nu. La déformation du site conjoint se produit, la zone affectée gonfle et devient rouge. L'axe des membres est perturbé, ce qui conduit à la complexité du mouvement. Les changements pathologiques provoquent le raccourcissement des ligaments. Les sous-lieux et les contractures apparaissent. Les muscles adjacents sont raccourcis ou étirés, à partir de laquelle la fonction contractile est affaiblie.
Causes et facteurs de risque pour le développement de l'arthrose
Les causes d'arthrose des articulations diffèrent en fonction de la forme de pathologie. L'arthrose déformant de l'articulation du coude, de l'articulation de la cheville et de l'arthrose épaule se développent parfois sans causes notables, il est possible de les détecter avec un médecin, un spécialiste en rhumatologie. Si le problème n'a pas été précédé de pathologies visibles, la maladie est appelée primaire. La forme secondaire de violation est principalement diagnostiquée, elle peut provoquer divers États.
Les principales raisons du développement:
- Dommages mécaniques: luxations, fractures, étirement, blessures au ménisque;
- un certain nombre de troubles endocriniens associés à des dysfonctionnements dans le travail de l'immunité;
- pathologies du métabolisme;
- dysplasie (anomalies congénitales des tissus articulaires);
- a subi une inflammation des articulations;
- pathologies conduisant à une forte mobilité des articulations et à un affaiblissement des ligaments.
Les patients atteints d'arthrose ont le plus souvent rencontré une maladie en raison de facteurs prédisposants:
- changements liés à l'âge;
- Léger et augmentation de l'IMC. Une charge élevée sur l'articulation entraîne une usure rapide des articulations;
- manque de substances bénéfiques;
- Charge excessive sur les joints. La raison est l'entraînement intense, les sports, le travail physique dur;
- des conditions de travail difficiles ou une approche incorrecte des sports. S'il existe des antécédents de tendance génétique aux dommages, des blessures articulaires ou des maladies similaires, il est important d'adhérer à un programme de formation spécial, en évitant des exercices traumatisants et difficiles;
- La période postopératoire de récupération ou des opérations complexes transmises associées à l'excision d'une grande part de tissus affectés. Ces états affectent négativement la douceur et la résistance du cartilage, la charge doit être minimisée sur eux;
- Tendance génétique, l'arthrose est plus souvent diagnostiquée chez les patients qui ont des parents ayant la même pathologie;
- Le stade de la postménopause se produit chez les femmes depuis environ 50 ans, est associé à des changements dans le système endocrinien;
- l'effet destructeur des toxines;
- mauvaise situation environnementale dans la région de la résidence;
- Des dommages fréquents à l'articulation, parfois les microfissures n'apparaissent pas depuis longtemps;
- hypothermie;
- Pathologie de la partie lombaire et cervicale de la colonne vertébrale.
Arthrose primaire

L'arthrose primaire est formée indépendamment, c'est-à-dire sans l'influence de causes internes ou externes. La défaite se développe à travers le cartilage Hyalin assez lentement. Il est rarement diagnostiqué, il ne représente que 3 à 5% de tous les cas.
Arthrose secondaire
L'arthrose secondaire est le plus souvent détectée par ordre de 95 à 96% des cas. Ils sont provoqués par l'une des pathologies ci-dessus.
Signes et symptômes d'arthrose
Les manifestations de la maladie diffèrent peu en fonction de la localisation, le plus souvent les signes se reflètent sur les genoux, les épaules et les articulations de la hanche, en raison de la charge élevée.
La plupart des plaintes se résument à:
- douleur. Ils ont une faible gravité au stade initial, avec l'aggravation de l'état de sensation s'intensifier. Initialement, les articulations ne font mal qu'après le réveil, après un léger chaud, les sensations disparaissent. Au fil du temps, les douleurs apparaissent la nuit, ils dérangent grandement pendant et après une prolongation de marche, de course, etc. Au dernier stade, le syndrome de la douleur poursuit une personne tout le temps;
- Amplitude limitée des mouvements. La rigidité des actions indique des changements anatomiques dans la structure. Au début, il se manifeste le matin, puis les mouvements quotidiens sont limités. Afin de ne pas provoquer une aggravation de la condition, le travail doit être diversifié et léger, sinon le patient ne pourra pas défoncer et presser le membre au fil du temps. Au fil du temps, il existe un risque de contrat, dont une personne perd la capacité motrice;
- Couronne pendant les mouvements - il appartient aux manifestations non spécifiques de l'arthrose. La maladie est caractérisée par la survenue d'un croquant dans une seule articulation (à l'exception de la polyarthrose), accompagnée d'un inconfort, d'une douleur et d'actions limitées. La nature du courant est semblable à des ondes - au début, elle se manifeste faiblement, s'intensifie progressivement, mais à 3 étapes disparaît;
- gonflement avec rougeur. Il est localisé près de l'articulation malade, cela indique un processus inflammatoire et une progression de la maladie. Le médecin comprend que la coquille synoviale est affectée, ce qui provoque l'accumulation de liquide et une douleur accrue;
déformations des membres. Apparaît sous une forme négligée de la maladie, indique la destruction complète du tissu du cartilage et l'apparition d'ostéophytes. Dans cet état, la pression sur les joints en haut et en dessous augmente, à partir de laquelle la courbure peut affecter le membre entier.
Il est important de se rappeler que la déformation des os sur la jambe est souvent confondue avec le maïs. Le symptôme n'est mal dangereux qu'à première vue, mais entraîne de graves conséquences.
Complications
Initialement, des méthodes de thérapie conservatrices sont utilisées pour le traitement. S'ils sont inefficaces ou si le patient a ignoré les recommandations du médecin, il y a un risque de conséquences.
Complications possibles:
- L'articulation est complètement détruite;
- Le membre est immobilisé, tous les mouvements deviennent extrêmement difficiles;
- hernies intervertébrales;
- invalidité;
- Forte déformation de l'articulation ou du membre entier.
Diagnostic d'arthrose
Pour poser un diagnostic, les rhumatologues étudient les plaintes du patient et prescrivent un examen x-raffinement. Le plus souvent, la radiographie est utilisée dans 2 projections. Le médecin examine la présence de troubles dystrophiques dans le cartilage hyalin et les articulations osseuses. Si l'espace articulaire est réduit, les os sont déformés ou aplatis, il existe des formations kystiques à la surface du cartilage, les ostéophytes sont des signes d'arthrose évidents. Pendant l'inspection, l'arthrose indique l'instabilité de l'articulation: l'axe des membres et la subluxation est perturbé.

Souvent, une image X-Ray n'est pas en mesure de fournir des informations complètes sur l'état de l'articulation. Pour une étude plus approfondie, la tomodensitométrie est prescrite, il est efficace pour examiner les os. L'IRM est plus souvent utilisée pour étudier les tissus mous.
Pendant le diagnostic, l'implication d'autres spécialistes est pratiquée qui aidera à déterminer la cause profonde de la pathologie. Souvent recourir à la consultation d'un hématologue, endocrinologue, gynécologue, orthopédique.
Traitement moderne
Il existe des centaines de façons de thérapie arthrose, mais elles se résument toutes à un certain nombre de méthodes:
- Traitement médicamenteux. La tâche principale est de lutter contre les symptômes et de prévenir le développement ultérieur d'une violation. Le plus souvent, les analgésiques sont utilisés pour soulager la douleur, les anti-inflammatoires non stéroïdiens pour lutter contre l'inflammation, les médicaments hormonaux sont prescrits pour une douleur intense et une inflammation aiguë. Chaque cours est basé sur des chondroprotecteurs qui protègent les tissus du cartilage contre la destruction, des substances naturelles sont utilisées pour leur fabrication;
- physiothérapie. Améliore l'efficacité des médicaments, lutte contre l'inflammation, soulage les symptômes, accélère la régénération tissulaire. Le plus souvent, utilisé le traitement ultrasonique, électrique, magnétique et laser. Cela comprend également des bains de boue, des applications avec des matériaux naturels, des bains de radon;
- Éducation physique médicale. Il est utile à la fois comme prévention et facilitant la condition. Après les bons exercices physiques, il est possible d'éliminer complètement la douleur. Il est utile de visiter la piscine, de s'engager dans le yoga et de marcher souvent;
- Thérapie manuelle, le massage aidera au traitement de la maladie, car ils contribuent à la prévention de la courbure des articulations. Après des blessures, le thérapeute manuel est capable de niveler l'articulation, empêchant sa fixation en mauvaise position. Après le massage, le tonus musculaire est amélioré, la circulation sanguine est accélérée;
- Nutrition appropriée. Une alimentation saine aidera à enrichir le corps de nutriments pour le cartilage et à réduire le poids corporel. Une grande masse augmente l'usure des articulations;
- Le traitement à l'Organisation du Sanatorium renforcera les articulations. Dans le cadre de la guérison, des sanatoriums se voient offrir une balneothérapie, une thérapie d'exercice, des procédures physiothérapeutiques, etc.;
- Thérapie non traditionnelle. Pour le traitement de l'arthrose, des huttes, de la médecine naturo, aph et à base de plantes, ainsi que de l'acupuncture et diverses recettes folkloriques sont utilisées;
- L'intervention chirurgicale est le seul moyen de revenir à la vie habituelle au troisième stade de la maladie. L'endoprothétique vous permet de remplacer le cartilage patient par l'implant. Le seul inconvénient de l'opération est le coût élevé. Une procédure est suffisante pour 15 à 20 ans.
Mesures préventives
De sorte que l'arthrose de l'articulation ne dérange pas dans la vieillesse, se dresse:
- maintenir un mode de vie sain;
- empêcher de fortes charges;
- observer un régime;
- exclure les mauvaises habitudes;
- Effectuer la gymnastique quotidiennement;
- Suivez le poids.
L'arthrose est une maladie dangereuse qui est beaucoup plus facile à prévenir que de guérir. Avec une recherche en temps opportun d'un médecin et une conformité aux règles de traitement, le patient sera en mesure de maintenir un mode de vie familier pendant longtemps. Le manque de thérapie et d'auto-médication provoque l'aggravation rapide de la maladie et, finalement, l'invalidité.























